Clinical Spotlight | Nuva® Flow Diverter for Recurrent Aneurysm Management
-
2025-08-04
-
LEPU
Patient: Male, 58 years old
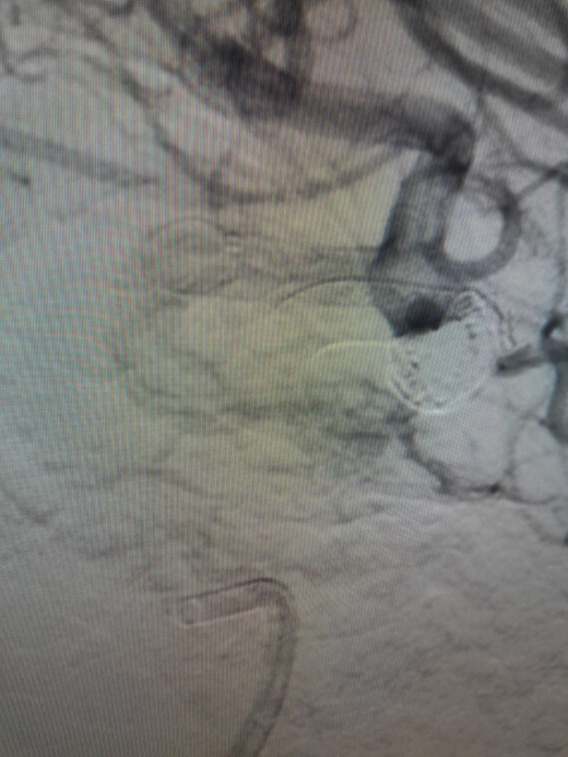
Diagnosis: Right posterior communicating artery aneurysm, previously treated with coil embolization
Procedure:
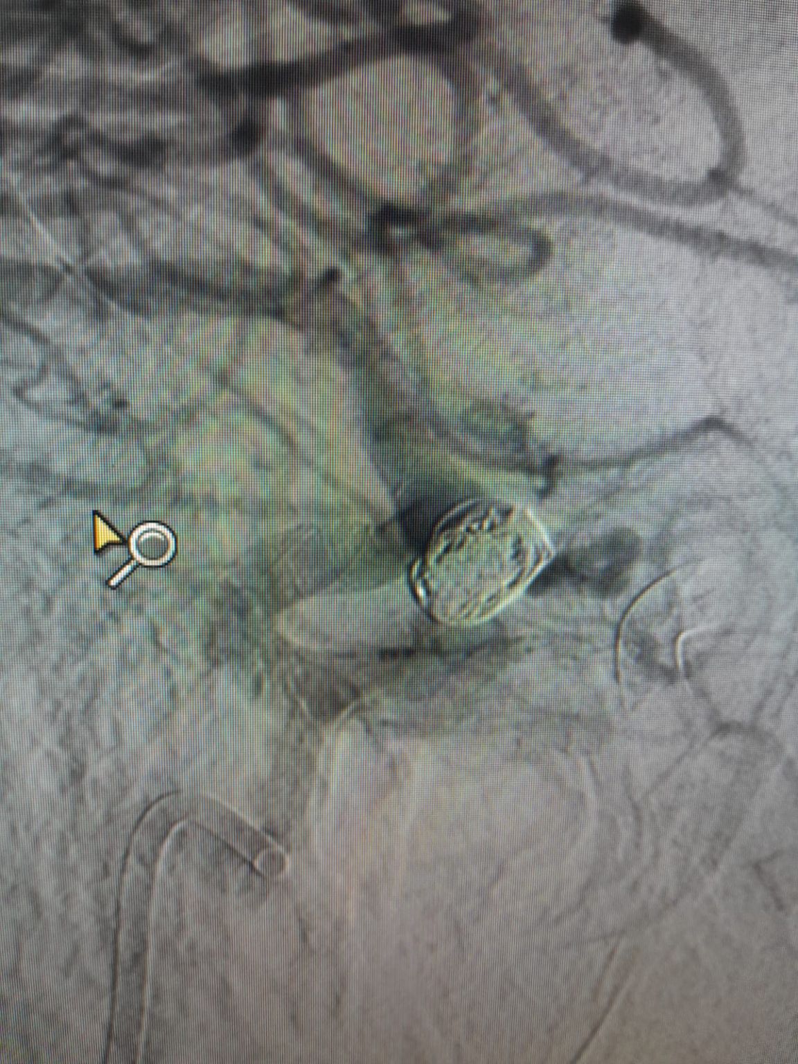
The procedure was successfully performed at Centenario Clinic by Dr. Rivera, with the support of their clinical team. Vascular access was established via femoral artery puncture. A microwire was carefully navigated to the target site, followed by the smooth advancement of the Frepass® Disposable Microcatheter (TJMC18 Plus). After precise aneurysm measurement, a Nuva® Flow Diverter (TJED-D-4.5-14) was selected and successfully deployed across the aneurysm neck.
The procedure was completed without complications, and the Nuva® device demonstrated excellent wall apposition and flow diversion effect. The clinical team highly recognized the handling and performance of the device.
Why Nuva®?
1. Nuva® Flow Diverter offers smooth navigation, even in vessels previously treated with coils.
2. The device ensures reliable deployment and excellent wall apposition.
3. Nuva® promotes effective flow diversion and supports long-term parent artery reconstruction.
4. It simplifies retreatment procedures and reduces procedural complexity.
5. Nuva® provides consistent full-length radiopacity, ensuring smooth procedure execution.
This case further demonstrates that Nuva® provides physicians with a trusted and efficient solution for managing recurrent aneurysms with precision and confidence.
Contact us>>marketing@lepu-medical.com
Visit lepumedical website for more >>en.lepumedical.com





