Clinical Spotlight | Multi-Aneurysm Treatment with Nuva® Flow Diverter and Perdenser® Embolic Coil System
-
2025-07-23
-
LEPU
Patient: Female, 48 years old
The patient was diagnosed with a newly discovered anterior communicating artery (AComA) saccular aneurysm and a posterior communicating artery (PComA) aneurysm that had been previously treated with coil embolization. Follow-up imaging revealed residual filling in the PComA aneurysm, requiring additional intervention.
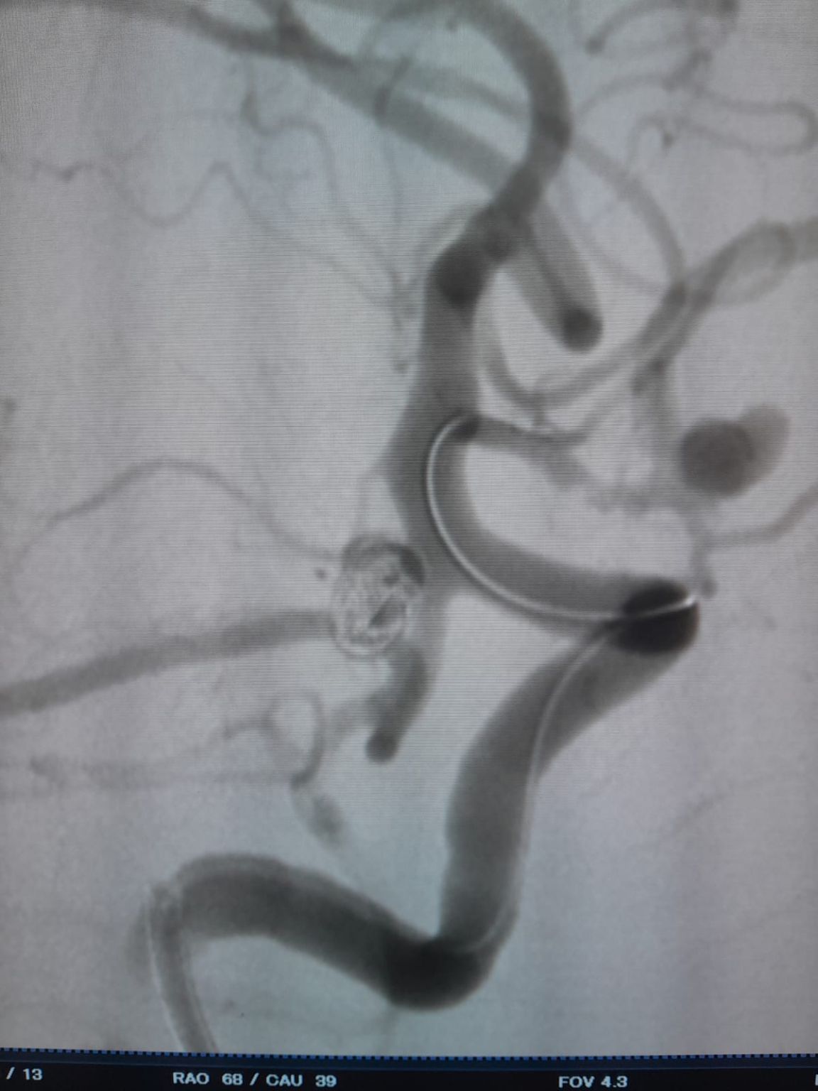
Procedure
Anterior Communicating Artery Aneurysm
The vascular access was established and the team then successfully navigated the Frepass® Disposable Microcatheter (TJMC14) to the target site. Embolization was performed using three Perdenser® Embolic Coil System (TJCST4.508-3D, TJCST0306-3D, TJCST0206-3D) deployed with the Deromper® Coil Detachment Controller (TJCDC).
Posterior Communicating Artery Aneurysm (Re-treatment)
During follow-up, residual filling was noted in the previously treated posterior communicating artery aneurysm. The team re-accessed the site using Frepass® Disposable Microcatheter (TJMC18 Plus) and successfully deployed a Nuva® Flow Diverter (TJED-D-4.5-16), which demonstrated ideal wall apposition and excellent flow diversion, leading to highly satisfactory treatment outcomes.
Perdenser® and Nuva® – Reliable Solutions for Complex Aneurysm Management
Perdenser®: Precise, High-Density Embolization
Excellent conformability and high packing density for stable aneurysm occlusion.
A full range of sizes for framing, filling, and finishing.
Deromper® detachment system provides a safe and reliable instant release mechanism.
Nuva®: Effective Solution for Recurrent Aneurysms
An effective solution for aneurysms with residual filling or recurrence after initial coiling.
Smooth navigation and reliable deployment.
Excellent wall apposition and stable flow diversion.
Nuva® simplifies retreatment, reduces procedural complexity, and improves long-term outcomes.
Dr. Rivera highly praised the handling, deliverability, and clinical results of TJWY's products, emphasizing their efficiency and reliability in complex aneurysm interventions. The smooth procedural experience and favorable imaging outcomes further strengthened his confidence in TJWY's neurointerventional solutions.
Contact us>>marketing@lepu-medical.com
Visit lepumedical website for more >>en.lepumedical.com




