Home>News
Clinical Spotlight | Nuva Flow Diverter in the Treatment of a Posterior Communicating Artery Aneurysm
-
2025-12-18
-
Lepu
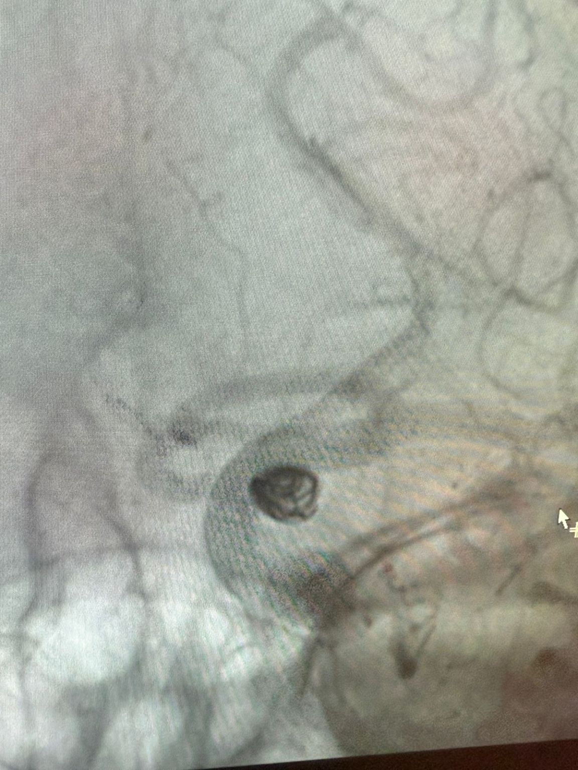
We are pleased to share a recent successful procedure at Clínica Alma Mater, Medellín, performed by Dr. Jorge Mutis.
The treatment utilized the Nuva® Flow Diverter (TJED-D 5.0–14), Perdenser® 3D coil, and Frepass® Microcatheter (TJMC18 Plus) for a posterior communicating artery aneurysm.
Clinical Insight:
Dr. Mutis highlighted the excellent visibility of the device and noted that retrieving was smooth. He expressed great satisfaction with the final outcome.
TJWY Medical is dedicated to providing high-quality, reliable neurovascular solutions to support physicians in delivering the best care for their patients. We sincerely appreciate the trust and collaboration of Dr. Mutis and the team in choosing our products for this case.




