Home>News
2-Year Follow-Up | MemoSorb Biodegradable ASD Occluder
-
2025-08-11
-
LEPU
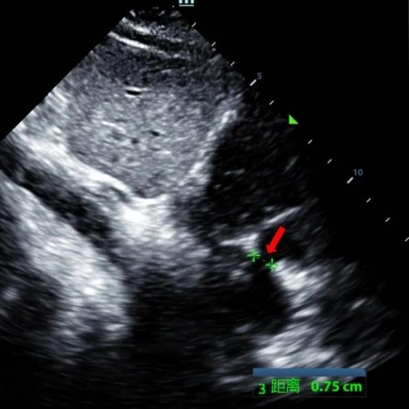
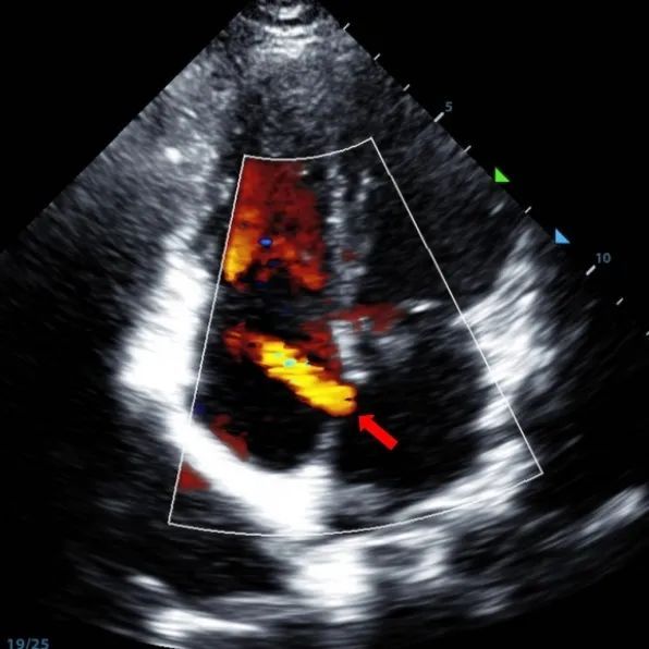
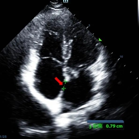
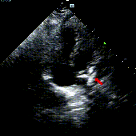
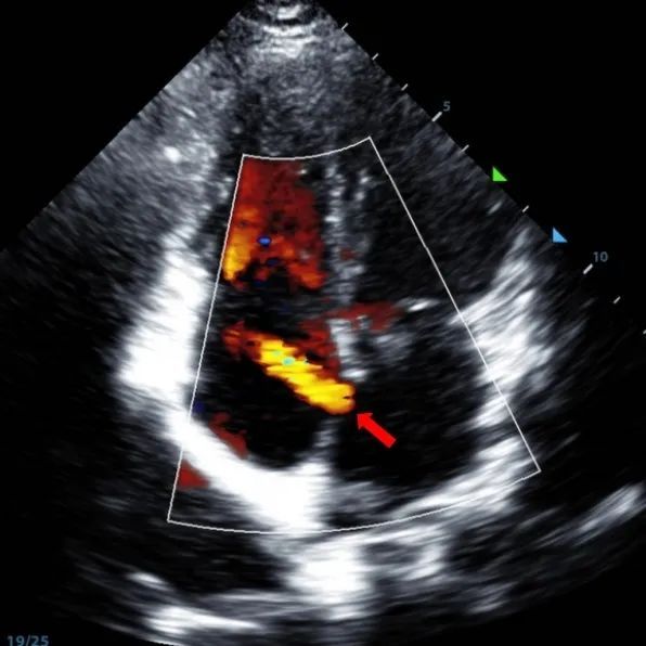
A 9-year-old male with secundum ASD (7.5–7.9 mm) was treated using a MemoSorb BDASD-I 12 mm occluder and 12F delivery system. No complications or comorbidities were noted pre-procedure.
Serial echocardiographic follow-ups showed stable device position and favorable cardiac remodeling. Gradual degradation confirmed the occluder's long-term safety and efficacy.
Contact us>>marketing@lepu-medical.com
Visit lepumedical website for more >>en.lepumedical.com




